【台北】 藝人名人指定推薦 擁有人人稱羨健康貝齒!! 【雅偲牙醫】
【植牙】【牙周病】【隱形矯正】【全瓷冠】【陶瓷貼片】
【藝人 黃瑜嫻】

【藝人 金剛】

【演員 王晴 & 游詩璟】

【網紅 林進】

【藝人 大牙】

【藝人 小蠻】

【藝人 王家梁】

【藝人 古斌 & 鄭人碩】

【網紅 米粒Q】

【藝人 吳思顏】

【藝人 吳鈴山】

【網紅 沛莉】

【網紅 老田.林進.小A辣.胖虎】

【網拍美女 Queenie高子翎 】

【網拍美女 VIVI張茜如】

【藝人 紹翔】

【網拍美女 陳小藍】

【藝人 陳謙文】

【藝人 麻吉弟弟】

【藝人 韓忠羽】

【藝人 賴琳恩】
【藝人 曾少宗】
【藝人 張甯兒 冷光美白牙齒 雅偲牙醫 鄭聖達醫師】
arsdentclinic 發表在
痞客邦
留言(1)
人氣()
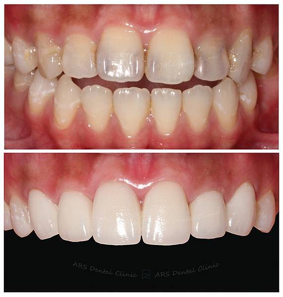
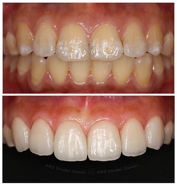
治療項目:全瓷貼片
arsdentclinic 發表在
痞客邦
留言(0)
人氣()
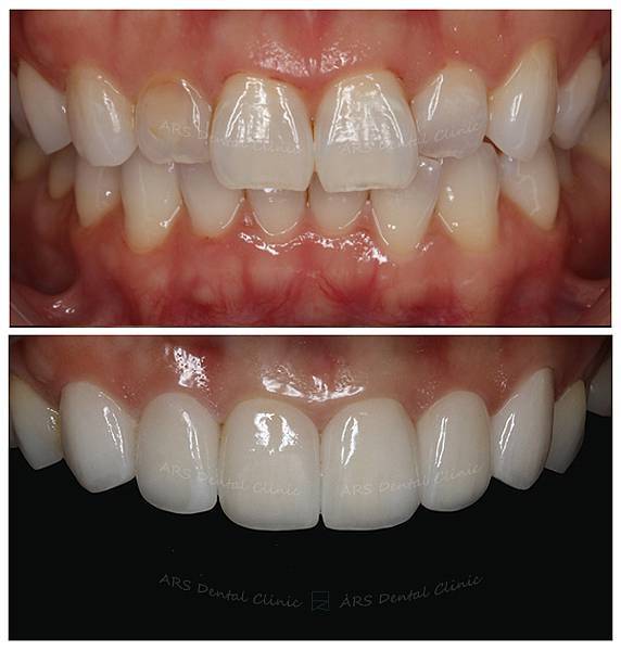
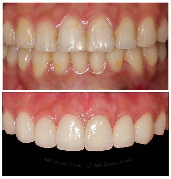
治療項目:牙冠增長術+全瓷冠+全瓷貼片
arsdentclinic 發表在
痞客邦
留言(0)
人氣()
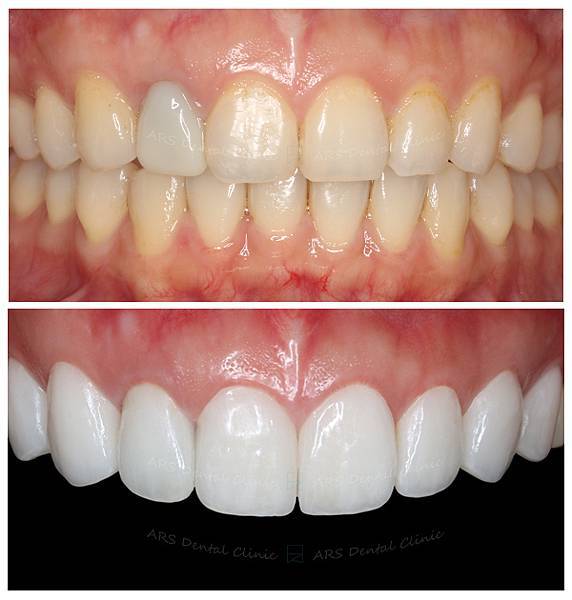
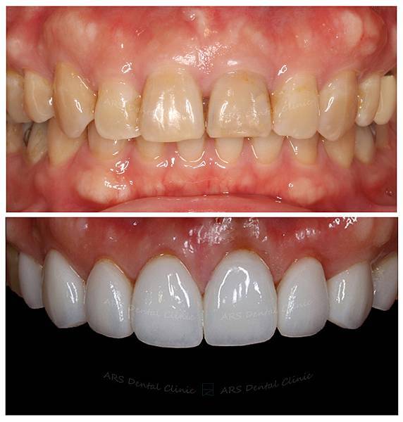
治療項目:牙冠增長術+全瓷冠
arsdentclinic 發表在
痞客邦
留言(0)
人氣()
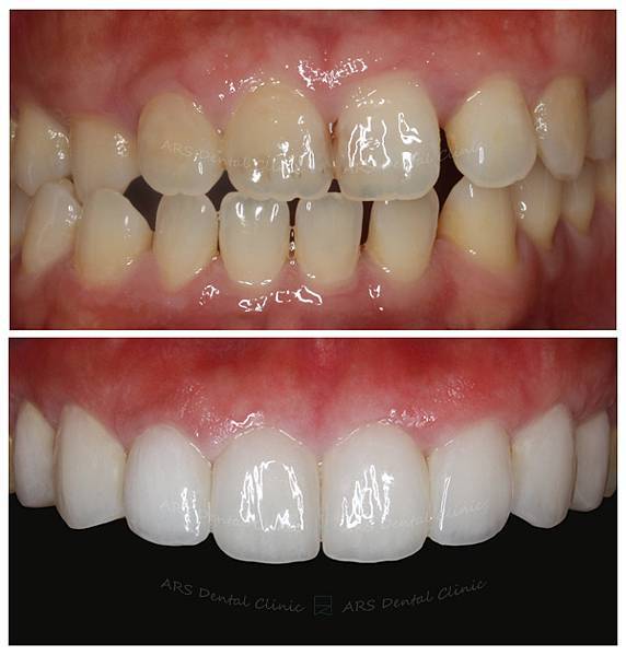
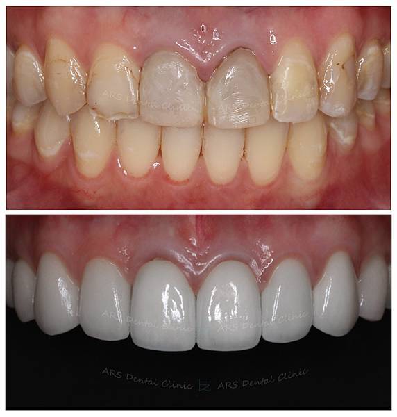
治療項目:全瓷冠
arsdentclinic 發表在
痞客邦
留言(0)
人氣()

arsdentclinic 發表在
痞客邦
留言(0)
人氣()
arsdentclinic 發表在
痞客邦
留言(0)
人氣()
arsdentclinic 發表在
痞客邦
留言(0)
人氣()
治療項目:全瓷冠+全瓷貼片
arsdentclinic 發表在
痞客邦
留言(0)
人氣()
arsdentclinic 發表在
痞客邦
留言(0)
人氣()
arsdentclinic 發表在
痞客邦
留言(0)
人氣()
arsdentclinic 發表在
痞客邦
留言(0)
人氣()